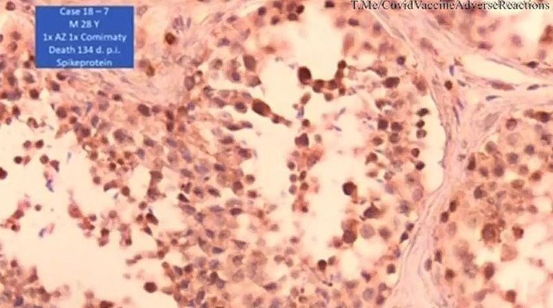
Bei Geimpften sind im Sperma nur noch Spike Protein enthalten

Draven Photo

Draven
2 שנים 75 צפיות
קטגוריה:
תיאור:

Dr. Arne Burkhardt zeigt in einer verstörenden Diashow, dass bei männlichen Geimpften das Sperma komplett durch das Spikeprotein der Corona-Spritze ersetzt wurde...